Prof. Dr. Haridas Das Adhikari

Prof. Dr. Haridas Das Adhikari

B.D.S.(Cal), M.D.S.(B.H.U), Dental Surgeon - Endodontist

Hemisectomy

Half of Lower molar tooth along with diseased root removed & rest part is saved.


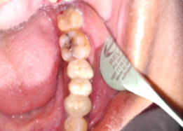
Hemisectomy

Post-OP Clinical View

Hemisectomy

Bone Graft Placement

Hemisectomy

Placement of PRF Membrane

Hemisectomy

Immediate Post-Surgical IOPAR

Hemisectomy

PRE OP Clinical Photograph Measuring Probing Depth

Hemisectomy

Pre-OP IOPAR

Hemisectomy

Prosthesis Cementation (Bridge)

Hemisectomy

Radiograph with Prosthesis (8 Months)

Powered By - www.calcuttayellowpages.com