Prof. Dr. Haridas Das Adhikari

Prof. Dr. Haridas Das Adhikari

B.D.S.(Cal), M.D.S.(B.H.U), Dental Surgeon - Endodontist

The Family Dental Chamber

Bijan Setu, R.No. 19, Ballygunge, Kolkata - 700 019 (Near Ballygunge Station Bus Terminus and Gariahat Mall)

For Appointment Call on-
+033 2440 8729 / +91 98300 61708

WhatsApp
+91 98301 31708

Healthy Teeth, Brighter Smile, Good Oral Hygiene, Happier Lives

Expert Dentists

Personalized Care

Let us help you achieve a radiant smile that boosts your confidence every day

Book an Appointment
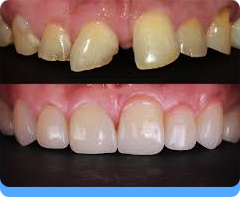
Teeth Whitening Experience Top-notch Dental Expertise Conservative Dentistry Cosmetic Dentistry & Smile Designing Smile Designing with Ceramic Veneer Dental Implant
Prof. Dr. Haridas Das Adhikari

About Doctor

Prof. Dr. Haridas Das Adhikari, B.D.S.(Cal), M.D.S.(B.H.U), Dental Surgeon- Endodontist. Formerly he was Post Graduate teacher and Head of the Department (H.O.D) of Conservative Dentistry and Endodontics (which also includes cosmetic Dentistry & laser dentistry) of Dr. R. Ahmed Dental College and Hospital, Kolkata, India. From this institute he retired from the Govt. Service on February 2023. It is the illustrious premier Institute of dentistry in South East Asia, established in 1920. He had also served Bardhaman Dental College and Hospital as Principal cum Superintendent and North Bengal Dental College as professor and HOD retired from Govt. service on February 2025.

Read More
Gocharan Krishna Memorial Charitable Dental Clinic

Gocharan Krishna Memorial Charitable Dental Clinic

Founded by Dr. Haridas Das Adhikari in the memory of his father in the year 2001 is run in an old and deserted premises. A new construction of 2000 sqft has been started just behind this and can only be completed with the best wishes from great hearted philanthropic people who are willing to donate generously.

Read More
The Family Dental Chamber

The Family Dental Chamber

Address - Bijan Setu, R.No. 19 Ballygunge, Kolkata - 700 019 (Near Ballygunge Station Bus Terminus and Gariahat Mall)

AM Medical Centre

AM Medical Centre

Chief Consultant Endodontist

Address - 97 A Southern Avenue, Kolkata -700029

(Erstwhile AMRI - Advanced Medicare and Research Institute), Kolkata (South Calcutta)

Timing -
Thursday & Saturday :
2:00 P.M. - 4:00 P.M.
(By Appointment only)

Healthy Teeth: Tips for Tooth Health and Oral Hygiene

Healthy Teeth : Tips for Healthy Teeth and Good Oral Hygiene

1

Brush twice in proper direction. In the morning after rising from bed and at night before going to bed.

2

Use Floridated Toothpaste

3

Fibrous Food (Cucumber, Carrot etc.) after Lunch and Dinner.

4

Do flossing once in a day.

5

Be cautious when Whitenet, Reddish Patch, Ulcer etc. appears within Oral Cavity and consult your doctor.

6

Be cautious when Irritation occurs due to Spicy and Chilly food - right time to see a doctor.

7

Be serious and must consult your doctor even when a small growth is observed by you which may save you from major surgery resulting in facial deformity and various oral disability.

Powered By - www.calcuttayellowpages.com