Prof. Dr. Haridas Das Adhikari

Prof. Dr. Haridas Das Adhikari

B.D.S.(Cal), M.D.S.(B.H.U), Dental Surgeon - Endodontist

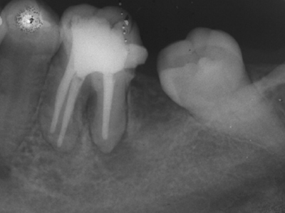
RCT for APICAL Pathologies


RCT is performed for apical periodontitis to remove infected tissue from the root canal, facilitate periapical tissue repair, and prevent further infection. The goal is a non-surgical, tooth-saving therapy to eliminate bacteria and seal the root canal system. While success rates for primary RCT are high (68-85%), healing can take months to years, and a successful coronal restoration is critical for long-term tooth survival.


Why RCT is done for Apical Pathology -

Eliminate Infection :
Apical periodontitis is an inflammatory condition caused by bacteria and toxins from the root canal system. RCT removes this infected, necrotic tissue.

Prevent Reinfection :
By cleaning and sealing the root canal system with a biocompatible material, RCT aims to prevent further bacterial contamination.

Heal Periapical Tissues :
The procedure facilitates the repair and healing of the periapical (tissue around the root tip) tissues.


Key aspects of RCT for Apical Periodontitis -

Non-surgical :
RCT is a primary, non-surgical tooth-saving treatment option for apical periodontitis.

Clinical & Radiographic Monitoring :
Healing is assessed by clinical signs and radiographic changes in the periapical tissue over time, with complete healing sometimes taking several years

Post-operative care :
Placing a sound coronal restoration (e.g., a crown) is vital for protecting the treated tooth and improving periapical healing.

Post-operative care :
Placing a sound coronal restoration (e.g., a crown) is vital for protecting the treated tooth and improving periapical healing.

High success rates :
Studies show high success rates for RCT in healing apical periodontitis when strict criteria are applied.

Alternative treatments :
While RCT is common, advanced therapies like regenerative endodontics (using stem cells) and other novel treatments are being researched to induce revitalization and bone regeneration.


Powered By - www.calcuttayellowpages.com