Innovative Treatment
                
                 A case of combined REP in one Root and VPT in another Root.
                Wound in bone (marked) in one root has healed through REP which is revealed in 6 and 12 months follow up IOPAR, the unaffected pulp in another Root Canal is protected through VPT resulting in the maintenance of validity of Tooth.
                
                
                 
                 
                 
                 
                 
                 
                 
                  An unconventional way of treating Non-Vital Tooth with Apical Pathology with the help of MTA (Mineral Trioxide Aggregate)
                 
                
                    
                        
                        
                        Dead discolored tooth
 with a growth in bone 
                      
                    
                        
                        
                        In the process of
 saving tooth by
 Root Canal Treatment 
                      
                    
                        
                        
                        MTA is placed in
 the apical 5mm
 of  Root Canal.
 Rest part kept empty.
                     
                    
                        
                        
                        A Glass Fiber post is the process of being fixed within empty
 part of Root Canal with the help of Composite Resin.
                     
                    
                    
                        
                        
                        Tooth is prepared for receiving a crown.
                     
                    
                        
                        
                        X-ray after Preparation 
                         
                    
                        
                        
                        The Smile after placing
 the Temporary Crown.
                      
                    
                        
                        
                        X-ray 
Pre-Operation 
                      
                    
                        
                        
                        After 3 months
 x-ray post operation 
                      
                    
                    
                        
                        
                        After 2 years
 x-ray post operation
                                                     
                                        
                  
                 
                 
                 
                 
                 
                   An Innovative Technique of saving a Tooth with Fracture Extending Sub-Gingivally (Chisel Type Fracture)
                 
                                      
                    
                        
                        
                        Showing picture line
 Extending Palatally and
 Sub-Gingivally.
                     
                    
                        
                        
                        X-ray showing
 picture line 
                       
                    
                        
                        
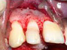
                        Labial Soft Tissue
 Reflected 
                       
                    
                        
                        
                        Palatal Soft Tissue
 Reflected 
                         
                    
                        
                        
                        Splinting of Fracture
 Fragments with direct
 Composite Veneering
                       
                    
                        
                        
                        In the process of Removal
 of Pulp after access preparation
 then Cleaning and Shaping done. 
                          
                    
                        
                        
                        Single sitting RCT
 Completed after Sectional
 Obturation.
                         
                    
                        
                        
                        Root and Crown Fragments
 are splinted with Glass
 Fibre Post. Resin Cement and
 Light Cure Composite 
are used for this purpose.
                     
                    
                        
                        
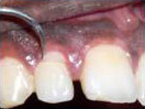
                        Finished palatal view
 of the tooth. Stitches can be seen.
                       
                    
                        
                        
                        Finished Labial view
 Stitches can be seen.
                                  
                                        
                  
                 
                 
                 
                 Regenerative Endodontic Procedure -
                 
                
                    
                        
                        
                        
                        Naseem Shah -
                        PRF Mediated REP in 21 with 18 Months Follow Up
						Complete Bony Healing, Apex Closed, Lateral Wall Thickening- 15.5%
                                  
                                        
                  
                 
                 
                               
                
                    
                        
                        
                        
                        Tanisha Konai -
                        PRP Mediated REP in 21 with 18 months follow up
						Bone healing, Apical PDL formed, Apex Closed, Calcific Bridge formed in 21. 
                        Vitality Positive
                                  
                                        
                  
                 
                 
                 
                  
                    
                        
                        
                        
                        Amanulla  -
                        PRF Mediated REP in 22 with 18 months Follow up
						Complete Bony Healing, Calcific Bridge Formed.
                                  
                                        
                  
                 
                 
                 
                    
                        
                        
                        
                        PRF Mediated REP in 21 with 26 Months Follow Up 
						Complete Bony Healing, Apex Closed, Lateral Dentinal Wall Thickened, PDL Apically
                                  
                                        
                  
                 
                 
                 
                  The newly generated tissue within the Dead Tooth Plas-Fosad Cementum like Tissue In Biopsy -